| 年齢層 | 20代 |
|---|---|
| 性別 | 男性 |
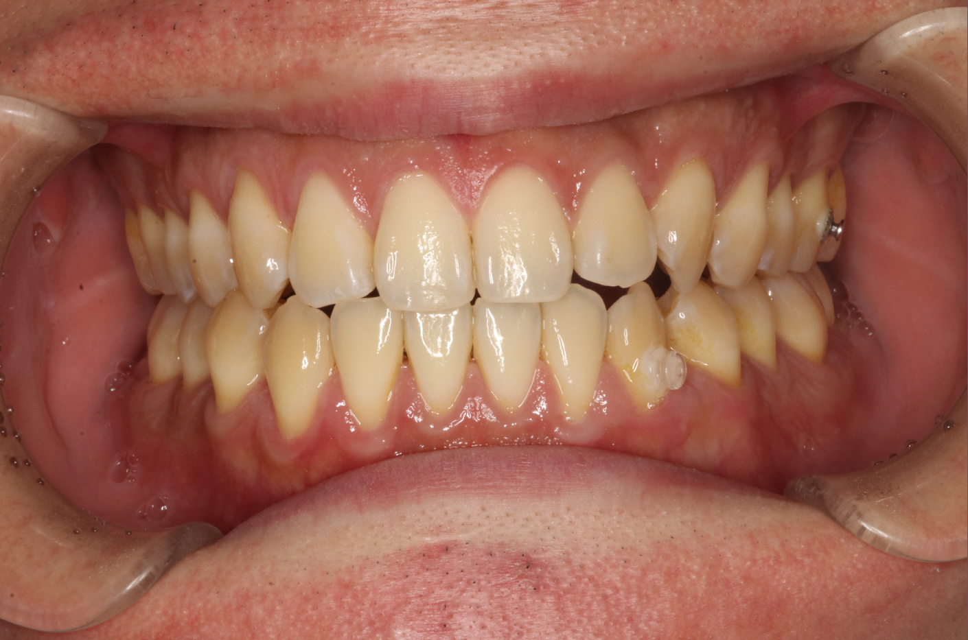
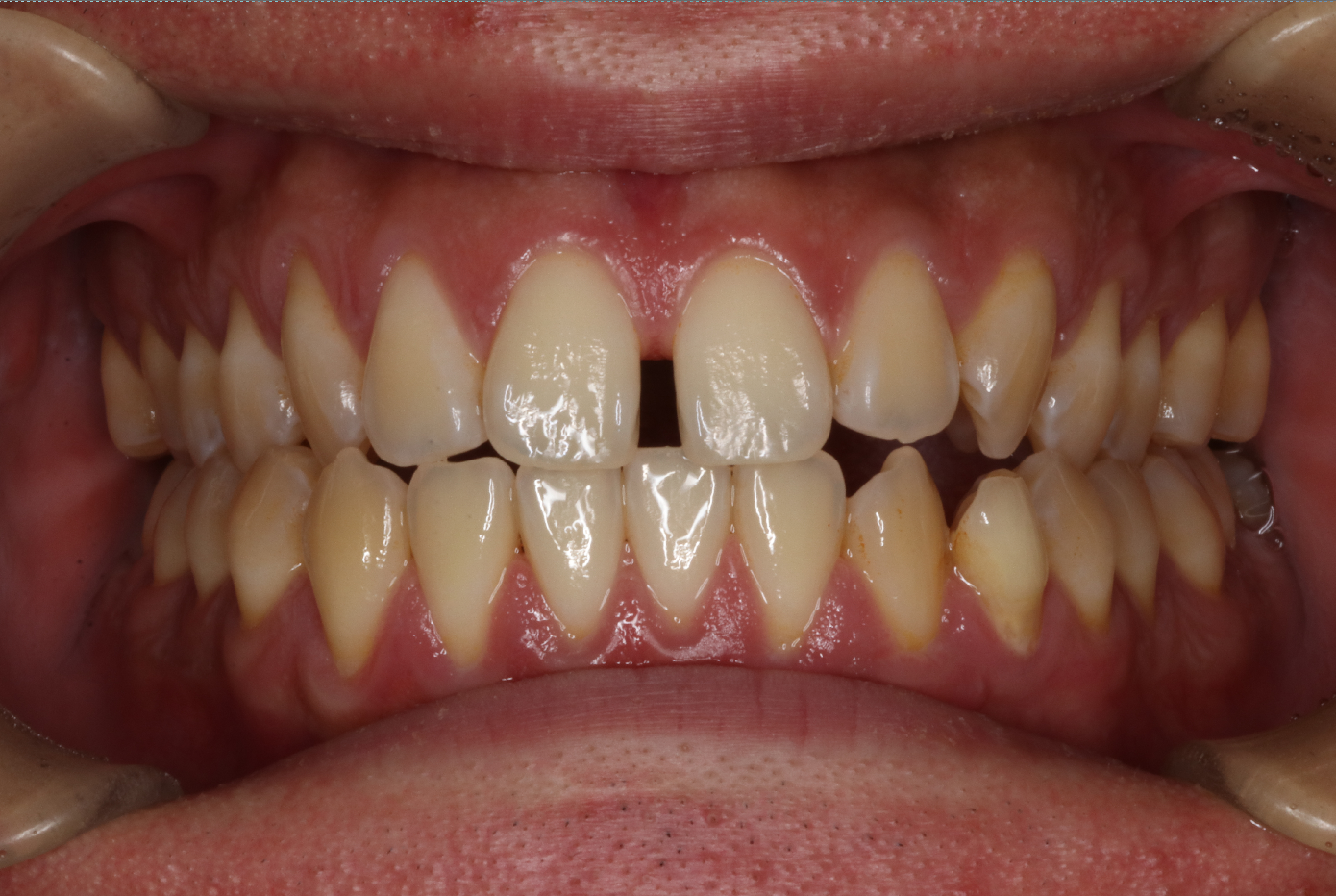
| 主訴 | 【主訴】受け口とすきっぱを治したい【診断・症状】反対咬合、空隙歯列 |
| 治療費用 | 検査・診断:税込38,500円/裏側矯正治療(リンガル矯正):税込1,397,000円 |
| 治療期間 | 約11か月(通院回数13回・現在も治療中) |
| 抜歯 | 無(非抜歯) |
| 矯正の装置 | 裏側矯正(舌側矯正) |
| 副作用、リスク | 歯肉退縮,歯根吸収,疼痛,咬合の違和感,装置の違和感,虫歯,歯肉炎 |


| 年齢層 | 20代 |
|---|---|
| 性別 | 女性 |
| 主訴 | 【主訴】すきっ歯を治したい 【診断・症状】空隙歯列、1,1正中離開 |
| 治療費用 | 検査・診断:税込38,500円/裏側矯正治療(リンガル矯正):税込1,397,000円 |
| 治療期間 | 約1年8か月(22回) |
| 抜歯 | 無(非抜歯) |
| 矯正の装置 | 裏側矯正(舌側矯正) |
| 副作用、リスク | 歯肉退縮,歯根吸収,疼痛,咬合の違和感,装置の違和感,虫歯,歯肉炎 |


| 年齢層 | 30代 |
|---|---|
| 性別 | 男性 |
| 主訴 | 【主訴】ディープバイト,すきっ歯 【診断・症状】左上C残存、下顎右下1番欠損、上顎前突、空隙歯列、過蓋咬合 |
| 治療費用 | 検査・診断:税込38,500円/裏側矯正治療(リンガル矯正):税込1,397,000円 |
| 治療期間 | 約3年半(45回) |
| 抜歯 | 有(左上c、上の4,4) |
| 矯正の装置 | 裏側矯正(舌側矯正) |
| 副作用、リスク | 歯肉退縮,歯根吸収,疼痛,咬合の違和感,装置の違和感,虫歯,歯肉炎 |


| 年齢層 | |
|---|---|
| 性別 | |
| 主訴 | すきっぱ |
| 治療費用 | 1,375,000-(税込) |
| 治療期間 | 1年3ヵ月 |
| 抜歯 | |
| 矯正の装置 | |
| 副作用、リスク | 知覚過敏 ・疼痛 ・咬合痛 ・体質により金属アレルギーの発症 ・歯肉退縮 ・歯根吸収 ・ブラックトライアングル(歯と歯の間の隙間) ・歯磨きがうまく出来ない場合、むし歯や歯肉炎が進行 ・保定が不十分の場合、後戻りの可能性 ・発音への影響 |

