| 年齢層 | 20代 |
|---|---|
| 性別 | 女性 |
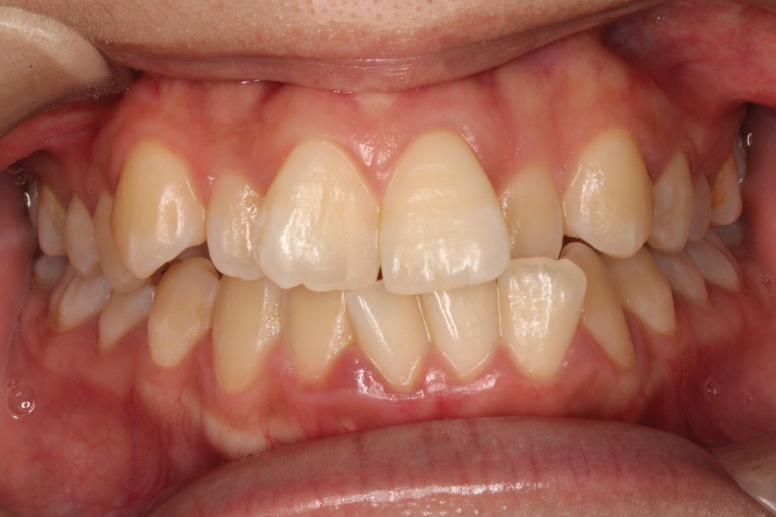
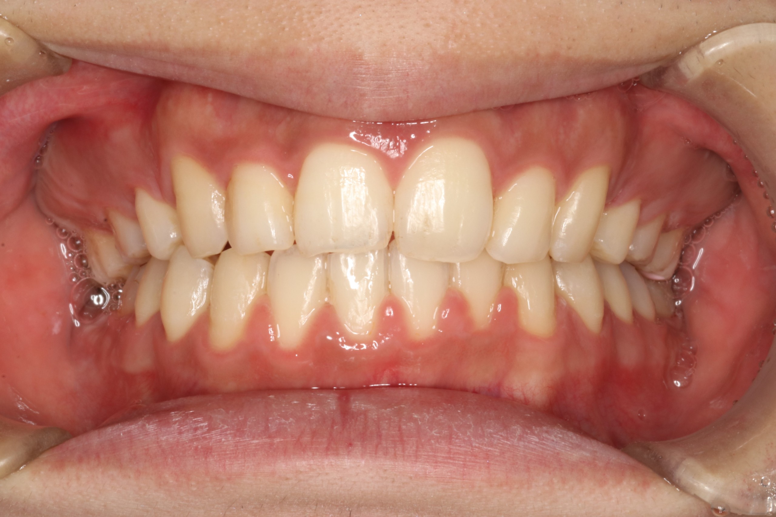
| 主訴 | 【主訴】歯の凹凸を治したい、八重歯が気になる【診断・症状】叢生 |
| 治療費用 | 検査・診断:税込38,500円/裏側矯正治療(リンガル矯正):税込1,397,000円 |
| 治療期間 | 約1年6ヶ月(通院回数16回) |
| 抜歯 | 上下左右2番 |
| 矯正の装置 | 裏側矯正(舌側矯正) |
| 副作用、リスク | 歯肉退縮,歯根吸収,疼痛,咬合の違和感,装置の違和感,虫歯,歯肉炎 |


| 年齢層 | 20代 |
|---|---|
| 性別 | 女性 |
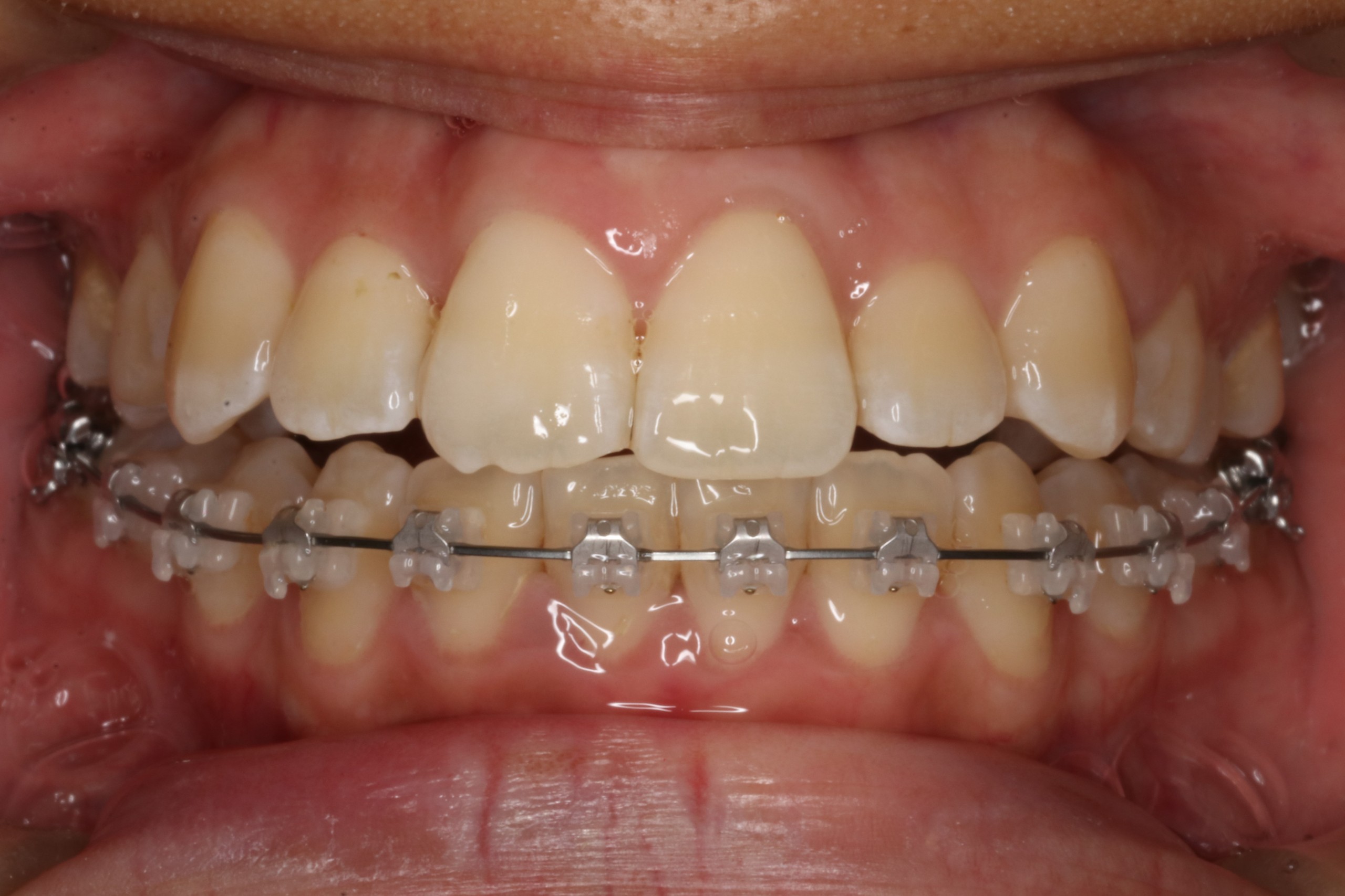
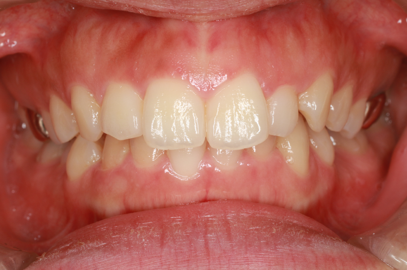
| 主訴 | 【主訴】上の歯が出ている・上下で咬み合わない【診断・症状】上顎前突・叢生 |
| 治療費用 | 検査・診断:税込38,500円/ハーフリンガル矯正:税込1,287,000円 |
| 治療期間 | 約4ヶ月(通院回数5回・現在も治療中) |
| 抜歯 | 無(非抜歯) |
| 矯正の装置 | 上顎裏側ワイヤー矯正、下顎表側ワイヤー矯正治療(ハーフリンガル矯正) |
| 副作用、リスク | 歯肉退縮,歯根吸収,疼痛,咬合の違和感,装置の違和感,虫歯,歯肉炎 |


| 年齢層 | 20代 |
|---|---|
| 性別 | 女性 |
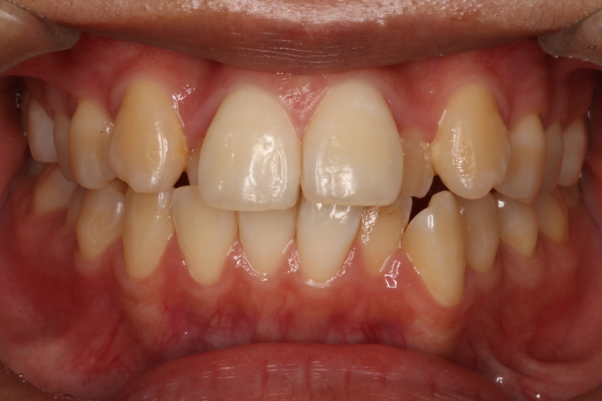
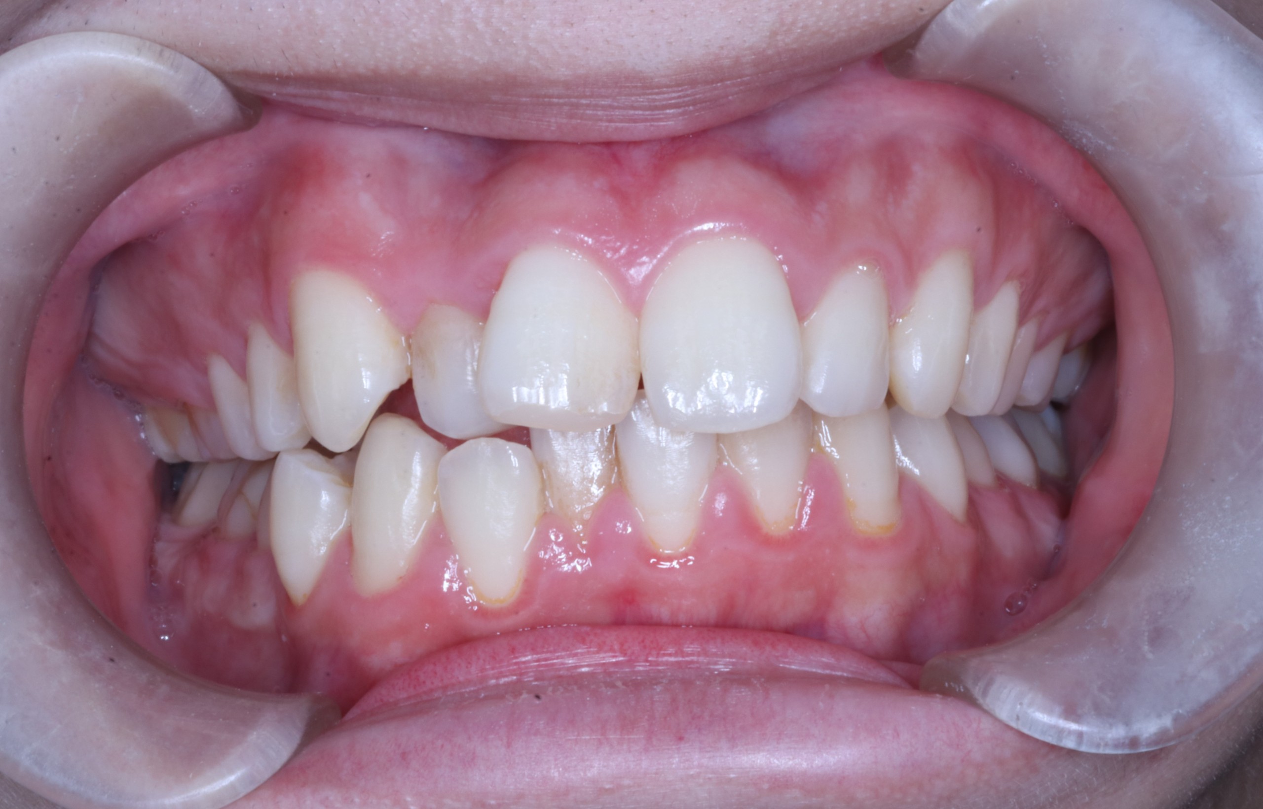
| 主訴 | 【主訴】歯の凹凸を治したい・上の歯が出ている【診断・症状】叢生・上顎前突 |
| 治療費用 | 検査・診断:税込38,500円/ハーフリンガル矯正:税込1,287,000円 |
| 治療期間 | 約1年4ヶ月(通院回数20回・現在も治療中) |
| 抜歯 | 有(上4,4、左下2) |
| 矯正の装置 | 上顎裏側ワイヤー矯正、下顎表側ワイヤー矯正治療(ハーフリンガル矯正) |
| 副作用、リスク | 歯肉退縮,歯根吸収,疼痛,咬合の違和感,装置の違和感,虫歯,歯肉炎 |


| 年齢層 | 20代 |
|---|---|
| 性別 | 女性 |
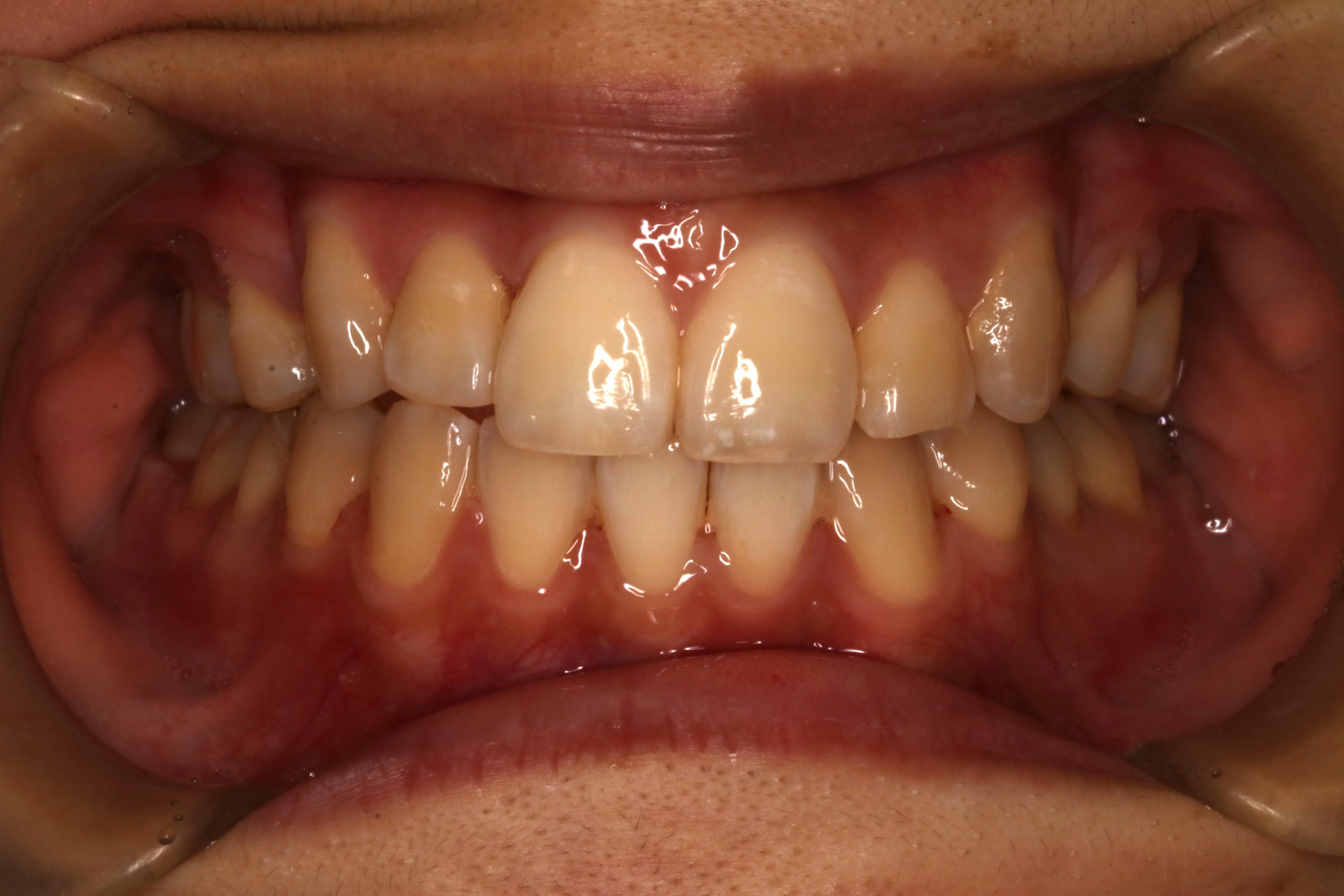
| 主訴 | 【主訴】ガミースマイルを治したい 【診断・症状】上下凸凹、ガミースマイル |
| 治療費用 | 検査・診断:税込38,500円/裏側矯正治療(リンガル矯正):税込1,397,000円 |
| 治療期間 | 約3年半(45回) |
| 抜歯 | 無(非抜歯) |
| 矯正の装置 | 裏側矯正(舌側矯正) |
| 副作用、リスク | 歯肉退縮,歯根吸収,疼痛,咬合の違和感,装置の違和感,虫歯,歯肉炎 |

