| 年齢層 | 20代 |
|---|---|
| 性別 | 男性 |
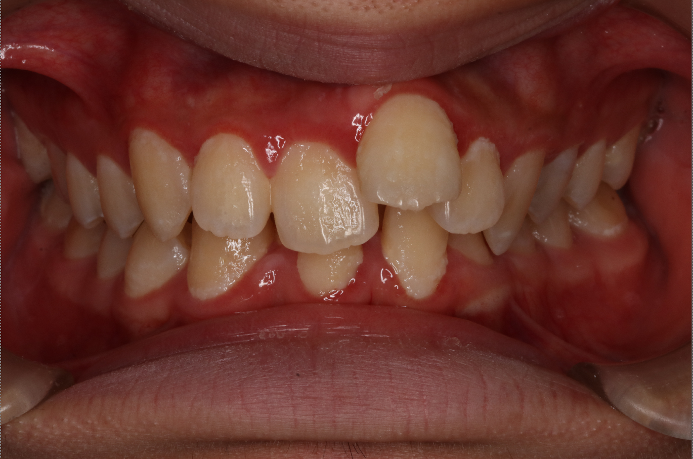
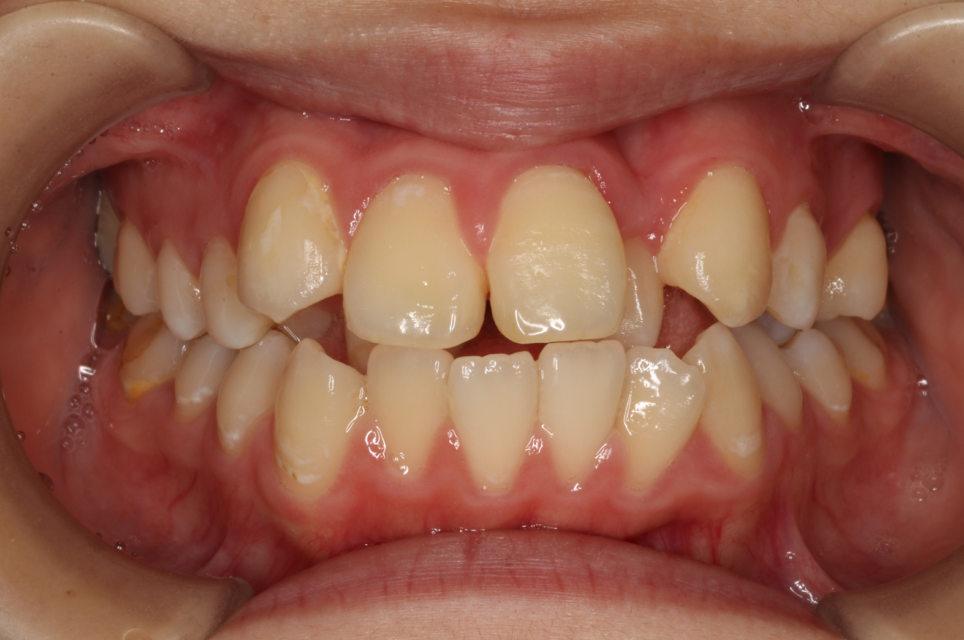
| 主訴 | 【主訴】八重歯と歯の凹凸を治したい【診断・症状】叢生 |
| 治療費用 | 検査・診断:税込38,500円/下顎表側ワイヤー矯正治療(ハーフリンガル矯正):税込1,287,000 |
| 治療期間 | 1年半(通院回数18回・現在も治療中) |
| 抜歯 | 有(上左右4番) |
| 矯正の装置 | ハーフリンガル矯正(上顎裏側ワイヤー矯正/下顎表側ワイヤー矯正治療) |
| 副作用、リスク | 歯肉退縮,歯根吸収,疼痛,咬合の違和感,装置の違和感,虫歯,歯肉炎 |


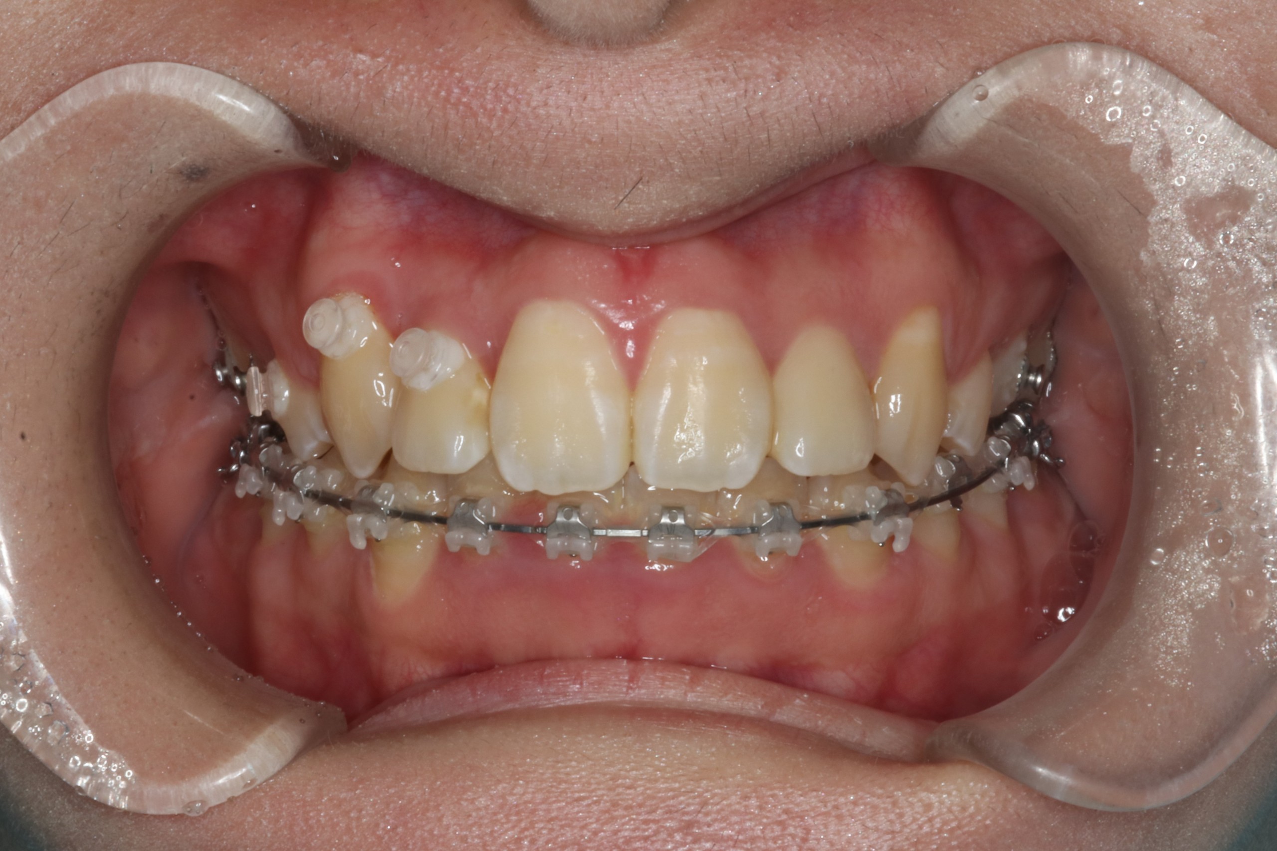
| 年齢層 | 20代 |
|---|---|
| 性別 | 女性 |
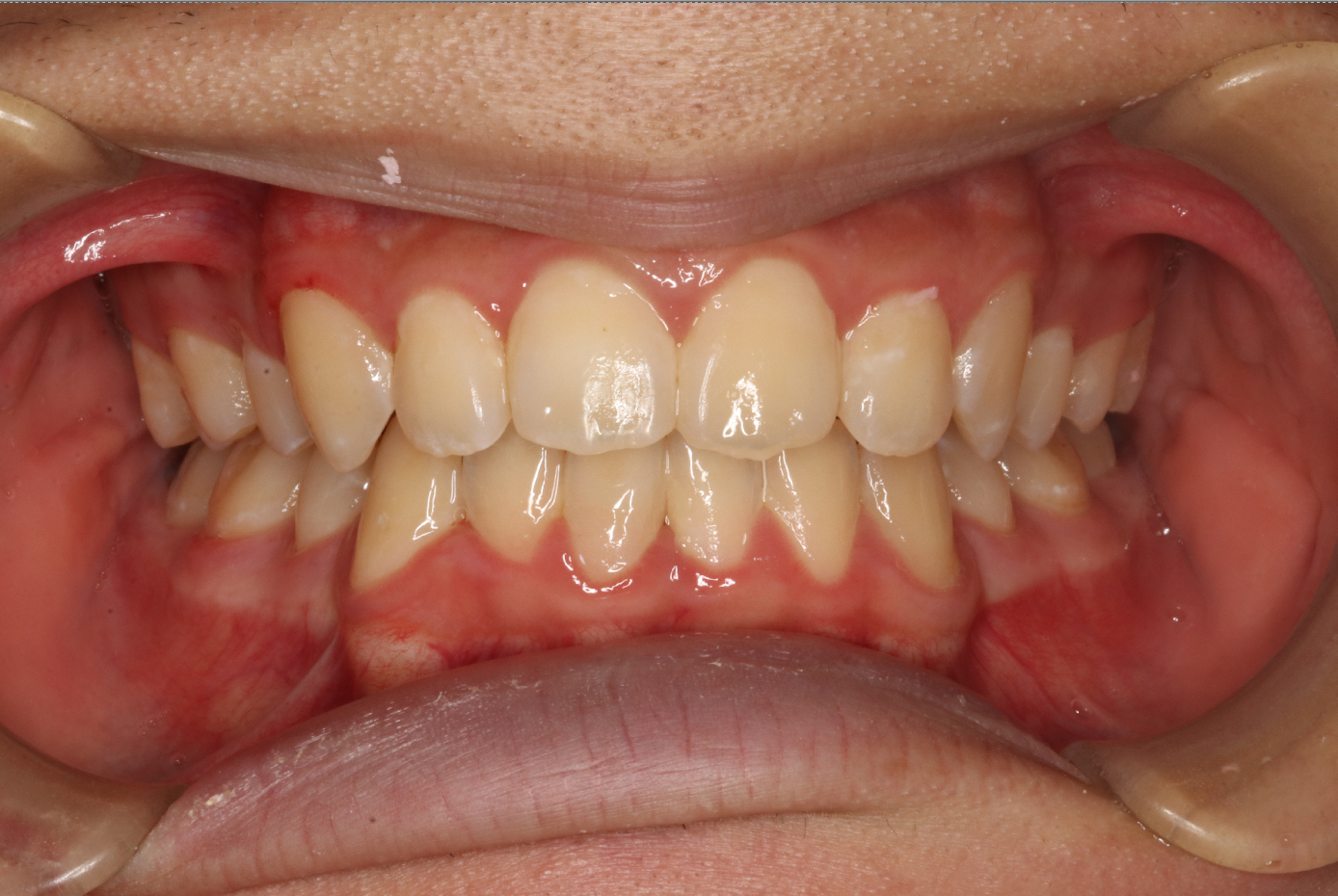
| 主訴 | 【主訴】歯の凹凸を治したい【診断・症状】叢生 |
| 治療費用 | 検査・診断:税込38,500円/下顎表側ワイヤー矯正治療(ハーフリンガル矯正):税込1,287,000 |
| 治療期間 | 1年6ヶ月(通院回数16回・現在も治療中) |
| 抜歯 | 無(非抜歯) |
| 矯正の装置 | ハーフリンガル矯正(上顎裏側ワイヤー矯正、下顎表側ワイヤー矯正治療) |
| 副作用、リスク | 歯肉退縮,歯根吸収,疼痛,咬合の違和感,装置の違和感,虫歯,歯肉炎 |


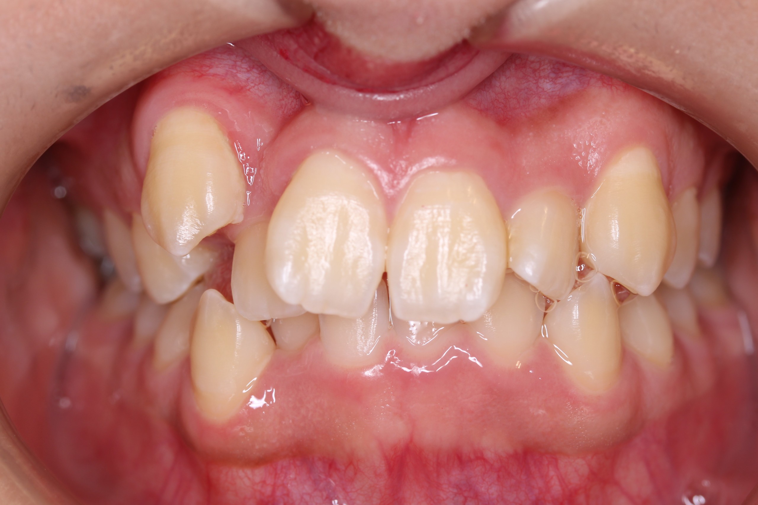
| 年齢層 | 20代 |
|---|---|
| 性別 | 女性 |
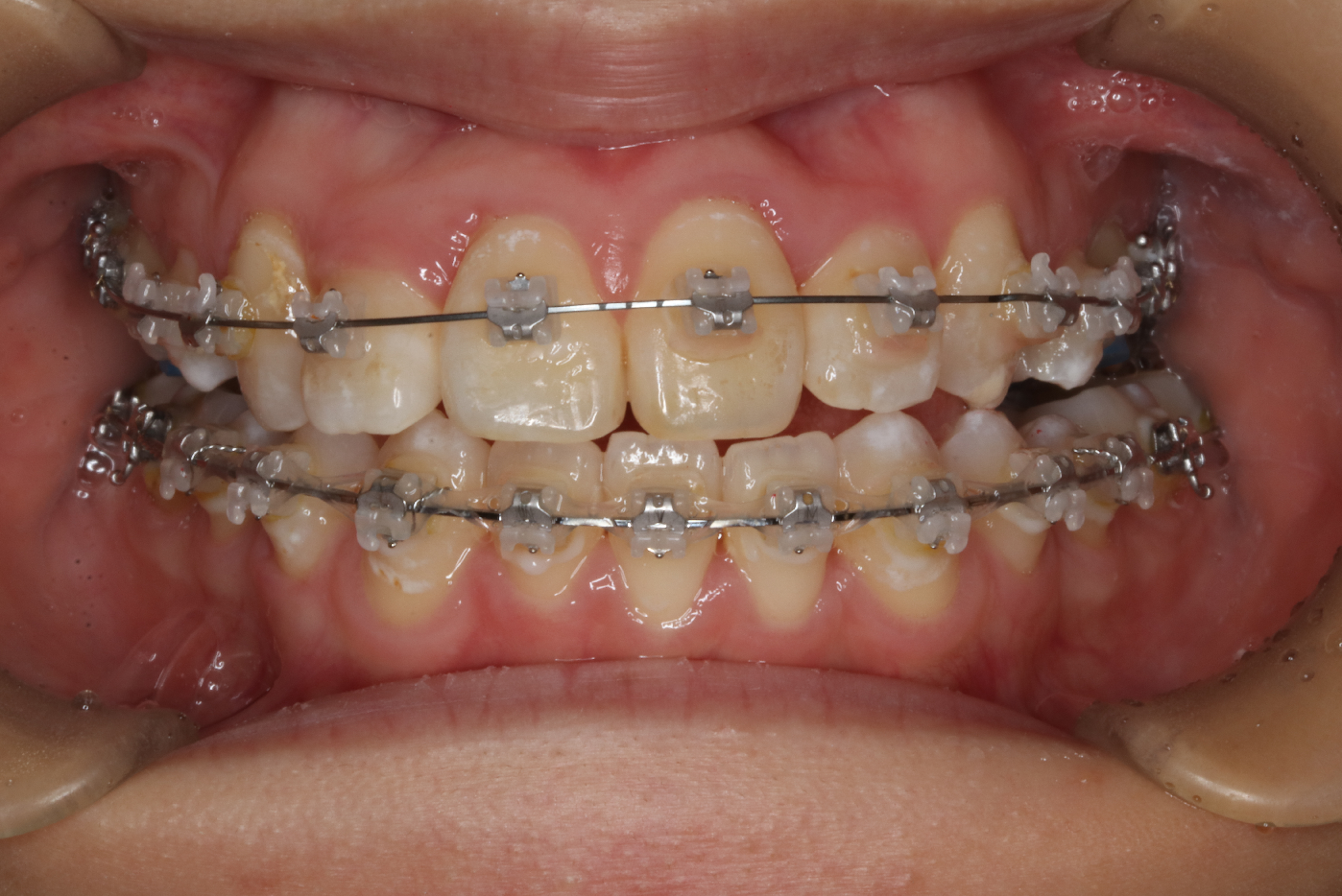
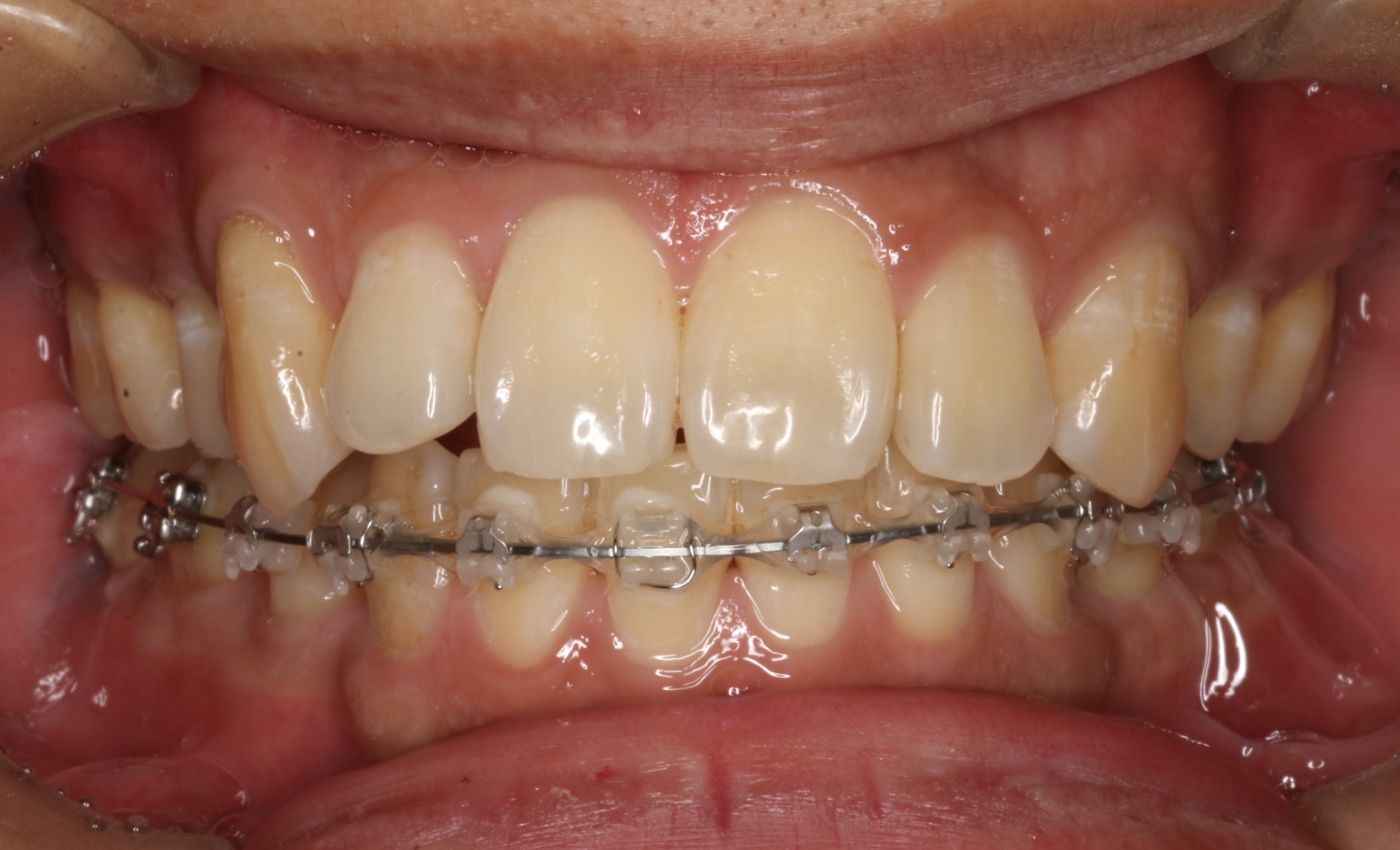
| 主訴 | 【主訴】歯の凹凸を治したい・上の歯が出ていいる【診断・症状】叢生・上顎前突 |
| 治療費用 | 検査・診断:税込38,500円/ハーフリンガル矯正:税込1,287,000円 |
| 治療期間 | 約1年9ヶ月(通院回数22回・現在も治療中) |
| 抜歯 | 有(上左右4番) |
| 矯正の装置 | 上顎裏側ワイヤー矯正、下顎表側ワイヤー矯正治療(ハーフリンガル矯正) |
| 副作用、リスク | 歯肉退縮,歯根吸収,疼痛,咬合の違和感,装置の違和感,虫歯,歯肉炎 |


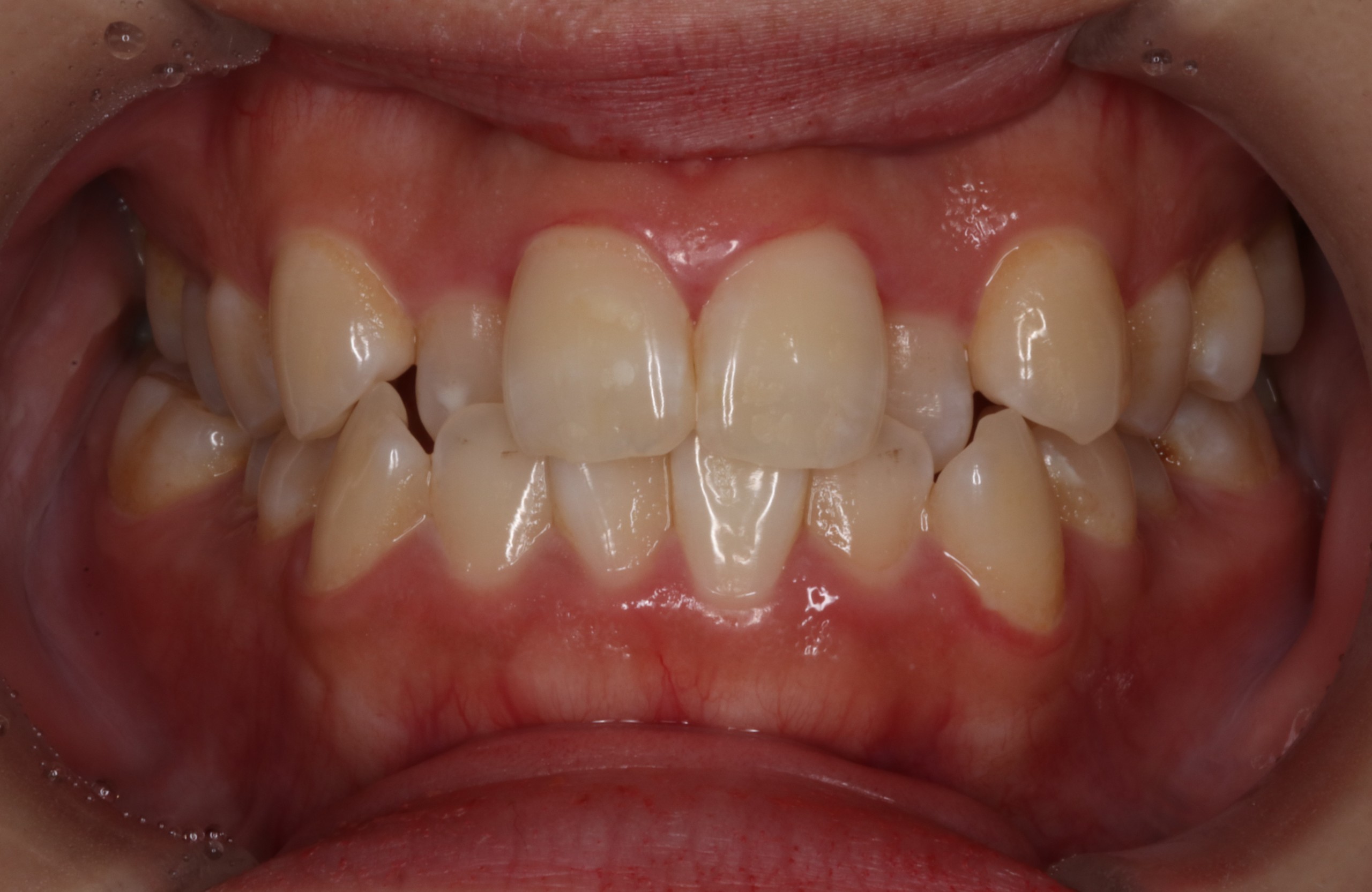
| 年齢層 | 20代 |
|---|---|
| 性別 | 女性 |
| 主訴 | 【主訴】歯の凹凸を治したい【診断・症状】叢生 |
| 治療費用 | 検査・診断:税込38,500円/裏側矯正治療(リンガル矯正):税込1,397,000円 |
| 治療期間 | 約2年5カ月 |
| 抜歯 | 有(右上2番・下左右5番) |
| 矯正の装置 | 裏側矯正(舌側矯正) |
| 副作用、リスク | 歯肉退縮,歯根吸収,疼痛,咬合の違和感,装置の違和感,虫歯,歯肉炎 |


| 年齢層 | 20代 |
|---|---|
| 性別 | 女性 |
| 主訴 | 【主訴】歯の凹凸を治したい、八重歯が気になる【診断・症状】叢生 |
| 治療費用 | 検査・診断:税込38,500円/裏側矯正治療(リンガル矯正):税込1,397,000円 |
| 治療期間 | 約1年6ヶ月(通院回数16回) |
| 抜歯 | 上下左右2番 |
| 矯正の装置 | 裏側矯正(舌側矯正) |
| 副作用、リスク | 歯肉退縮,歯根吸収,疼痛,咬合の違和感,装置の違和感,虫歯,歯肉炎 |


| 年齢層 | 20代 |
|---|---|
| 性別 | 女性 |
| 主訴 | 【主訴】上の歯が出ている・上下で咬み合わない【診断・症状】上顎前突・叢生 |
| 治療費用 | 検査・診断:税込38,500円/ハーフリンガル矯正:税込1,287,000円 |
| 治療期間 | 約4ヶ月(通院回数5回・現在も治療中) |
| 抜歯 | 無(非抜歯) |
| 矯正の装置 | 上顎裏側ワイヤー矯正、下顎表側ワイヤー矯正治療(ハーフリンガル矯正) |
| 副作用、リスク | 歯肉退縮,歯根吸収,疼痛,咬合の違和感,装置の違和感,虫歯,歯肉炎 |


| 年齢層 | 20代 |
|---|---|
| 性別 | 男性 |
| 主訴 | 【主訴】歯の凹凸を治したい・顎が痛い【診断・症状】叢生・上顎前突 |
| 治療費用 | 検査・診断:税込38,500円/裏側矯正治療(リンガル矯正):税込1,397,000円 |
| 治療期間 | 約3年 |
| 抜歯 | 有(上下左右4番) |
| 矯正の装置 | 裏側矯正(舌側矯正) |
| 副作用、リスク | 歯肉退縮,歯根吸収,疼痛,咬合の違和感,装置の違和感,虫歯,歯肉炎 |


| 年齢層 | 20代 |
|---|---|
| 性別 | 女性 |
| 主訴 | 【主訴】歯の凹凸を治したい・上の歯が出ている【診断・症状】叢生・上顎前突 |
| 治療費用 | 検査・診断:税込38,500円/ハーフリンガル矯正:税込1,287,000円 |
| 治療期間 | 約1年4ヶ月(通院回数20回・現在も治療中) |
| 抜歯 | 有(上4,4、左下2) |
| 矯正の装置 | 上顎裏側ワイヤー矯正、下顎表側ワイヤー矯正治療(ハーフリンガル矯正) |
| 副作用、リスク | 歯肉退縮,歯根吸収,疼痛,咬合の違和感,装置の違和感,虫歯,歯肉炎 |


| 年齢層 | 30代 |
|---|---|
| 性別 | 男性 |
| 主訴 | 【主訴】歯の凸凹を治したい 【診断・症状】上下凸凹 |
| 治療費用 | 検査・診断:税込38,500円/裏側矯正治療(リンガル矯正):税込1,397,000円 |
| 治療期間 | 約3年半(45回) |
| 抜歯 | 有(上4,4、左下4) |
| 矯正の装置 | 裏側矯正(舌側矯正) |
| 副作用、リスク | 歯肉退縮,歯根吸収,疼痛,咬合の違和感,装置の違和感,虫歯,歯肉炎 |


| 年齢層 | 30代 |
|---|---|
| 性別 | 女性 |
| 主訴 | 【主訴】開咬を治したい 【診断・症状】上下凸凹、開咬(オープンバイト) |
| 治療費用 | 検査・診断:税込38,500円/裏側矯正治療(リンガル矯正):税込1,397,000円 |
| 治療期間 | 約3年(39回) |
| 抜歯 | 有(左上4,右上5、下5,5) |
| 矯正の装置 | 裏側矯正(舌側矯正) |
| 副作用、リスク | 歯肉退縮,歯根吸収,疼痛,咬合の違和感,装置の違和感,虫歯,歯肉炎 |


| 年齢層 | 20代 |
|---|---|
| 性別 | 女性 |
| 主訴 | 【主訴】歯のデコボコを非抜歯で治したい 【診断・症状】上下凸凹 |
| 治療費用 | 検査・診断:税込38,500円/裏側矯正治療(リンガル矯正):税込1,397,000円 |
| 治療期間 | 約1年半(20回) |
| 抜歯 | 無(非抜歯) |
| 矯正の装置 | 裏側矯正(舌側矯正) |
| 副作用、リスク | 歯肉退縮,歯根吸収,疼痛,咬合の違和感,装置の違和感,虫歯,歯肉炎 |


| 年齢層 | 30代 |
|---|---|
| 性別 | 男性 |
| 主訴 | 【主訴】歯のデコボコを治したい 【診断・症状】上下凸凹 |
| 治療費用 | 検査・診断:税込38,500円/裏側矯正治療(リンガル矯正):税込1,397,000円 |
| 治療期間 | 約2年(26回) |
| 抜歯 | 有(上4,4、下5,5) |
| 矯正の装置 | 裏側矯正(舌側矯正) |
| 副作用、リスク | 歯肉退縮,歯根吸収,疼痛,咬合の違和感,装置の違和感,虫歯,歯肉炎 |


| 年齢層 | 20代 |
|---|---|
| 性別 | 女性 |
| 主訴 | 【主訴】歯のデコボコを治したい 【診断・症状】上下凸凹 |
| 治療費用 | 検査・診断:税込38,500円/裏側矯正治療(リンガル矯正):税込1,397,000円 |
| 治療期間 | 約3年半(45回) |
| 抜歯 | 有(上4,4、下 4,4) |
| 矯正の装置 | 裏側矯正(舌側矯正) |
| 副作用、リスク | 歯肉退縮,歯根吸収,疼痛,咬合の違和感,装置の違和感,虫歯,歯肉炎 |


| 年齢層 | |
|---|---|
| 性別 | |
| 主訴 | 前歯のがたつき(叢生) |
| 治療費用 | 1,375,000-(税込) |
| 治療期間 | 2年6ヵ月 |
| 抜歯 | |
| 矯正の装置 | |
| 副作用、リスク | 知覚過敏 ・疼痛 ・咬合痛 ・体質により金属アレルギーの発症 ・歯肉退縮 ・歯根吸収 ・ブラックトライアングル(歯と歯の間の隙間) ・歯磨きがうまく出来ない場合、むし歯や歯肉炎が進行 ・保定が不十分の場合、後戻りの可能性 ・発音への影響 |

