料金
症例
menu
close
アクセス
当院について
渋谷矯正歯科のご案内
院内紹介
院内デジタル矯正設備
グループ内転院制度
治療内容
治療について
治療の流れ
カウンセリング
裏側矯正
ハーフリンガル矯正
表側矯正
部分矯正
マウスピース型矯正
コンビネーション矯正
歯科矯正用アンカースクリューを用いた矯正
外科矯正(サージェリーファースト)
矯正基礎知識
矯正法・費用・期間・医院選び
結婚式に向けた矯正
一般的なリスクや副作用について
料金表
キャンペーン
料金一覧
お得な定額費用制度
デンタルローン
医療費控除
症例紹介
矯正ガイド
当院の総院長・院長
よくある質問
矯正のご相談・未成年・学生の方
カウンセリングの流れ
instagram
TIKTOK
YouTube
ブログ
矯正コラム
表側矯正
TOP
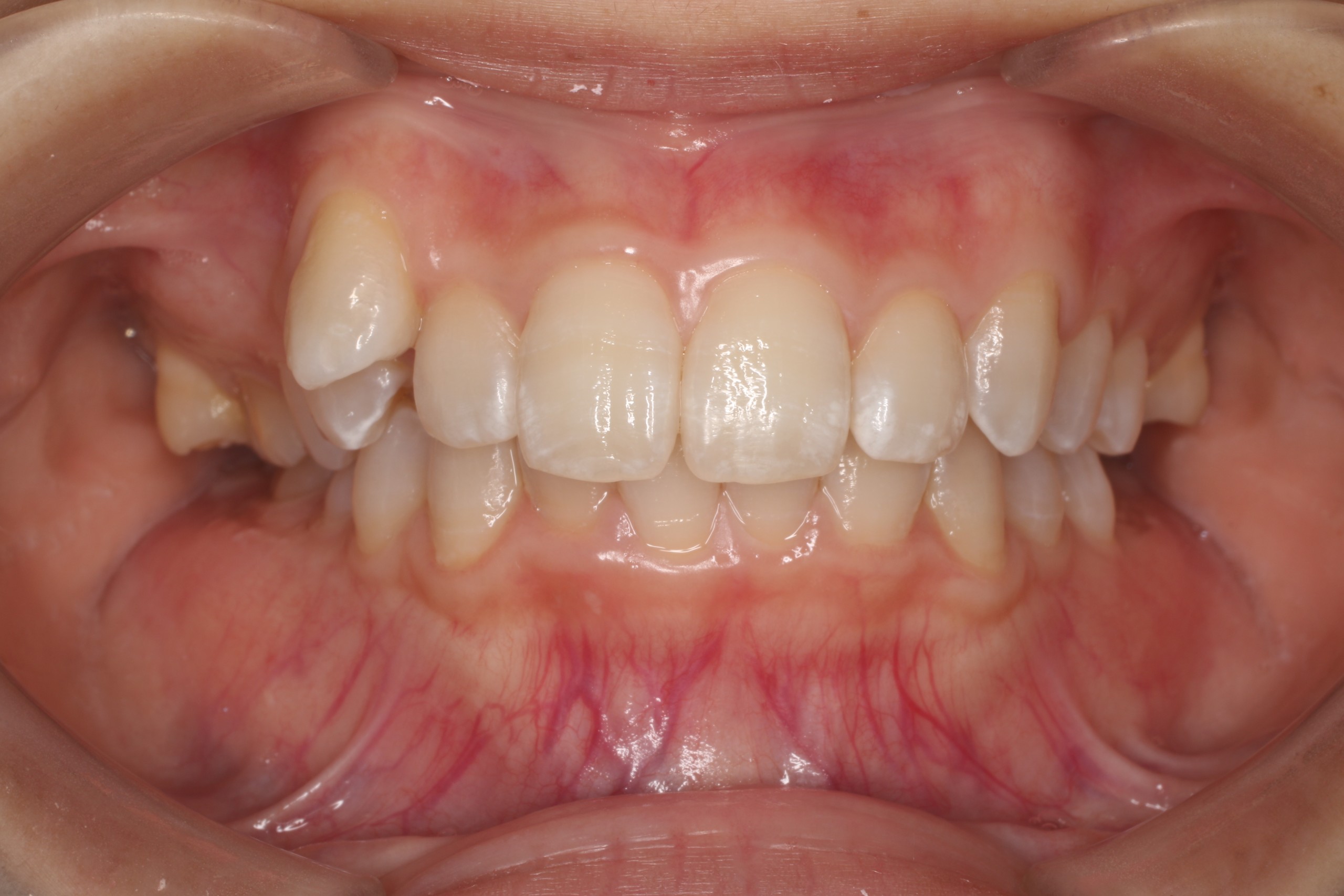
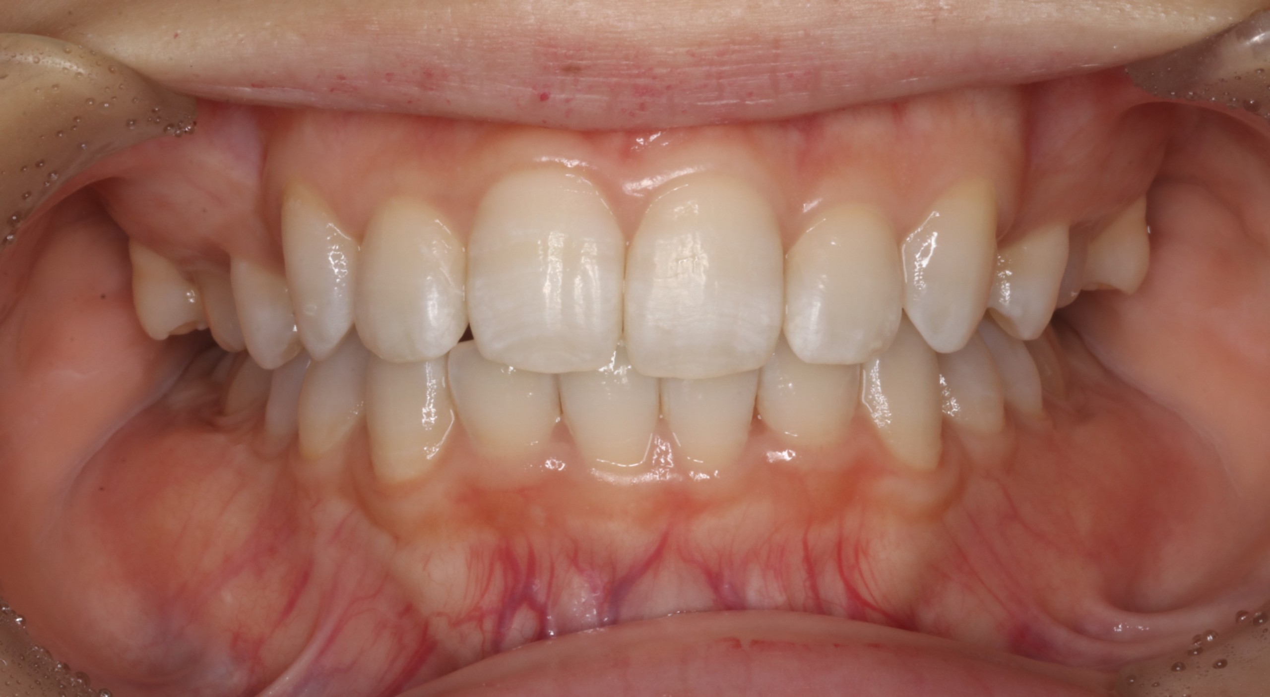
当院の症例
表側矯正
キーワードから探す
裏側矯正
マウスピース型矯正
ハーフリンガル矯正
表側矯正
部分矯正
歯科用アンカースクリューによる矯正
外科矯正
コンビネーション矯正
ガチャ歯
出っ歯
受け口
ガミースマイル
開咬
噛み合わせが深い
すきっ歯
真ん中がずれている
Eライン・口ゴボ
カテゴリーから選ぶ
治療方法
裏側矯正
マウスピース型矯正
ハーフリンガル矯正
表側矯正
部分矯正
歯科用アンカースクリューによる矯正
外科矯正
コンビネーション矯正
お悩み
ガチャ歯
出っ歯
受け口
ガミースマイル
開咬
噛み合わせが深い
すきっ歯
真ん中がずれている
Eライン・口ゴボ
WEB予約
治療ガイド