

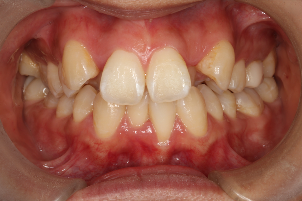
| 年齢層 | 50代 |
|---|---|
| 性別 | 男性 |
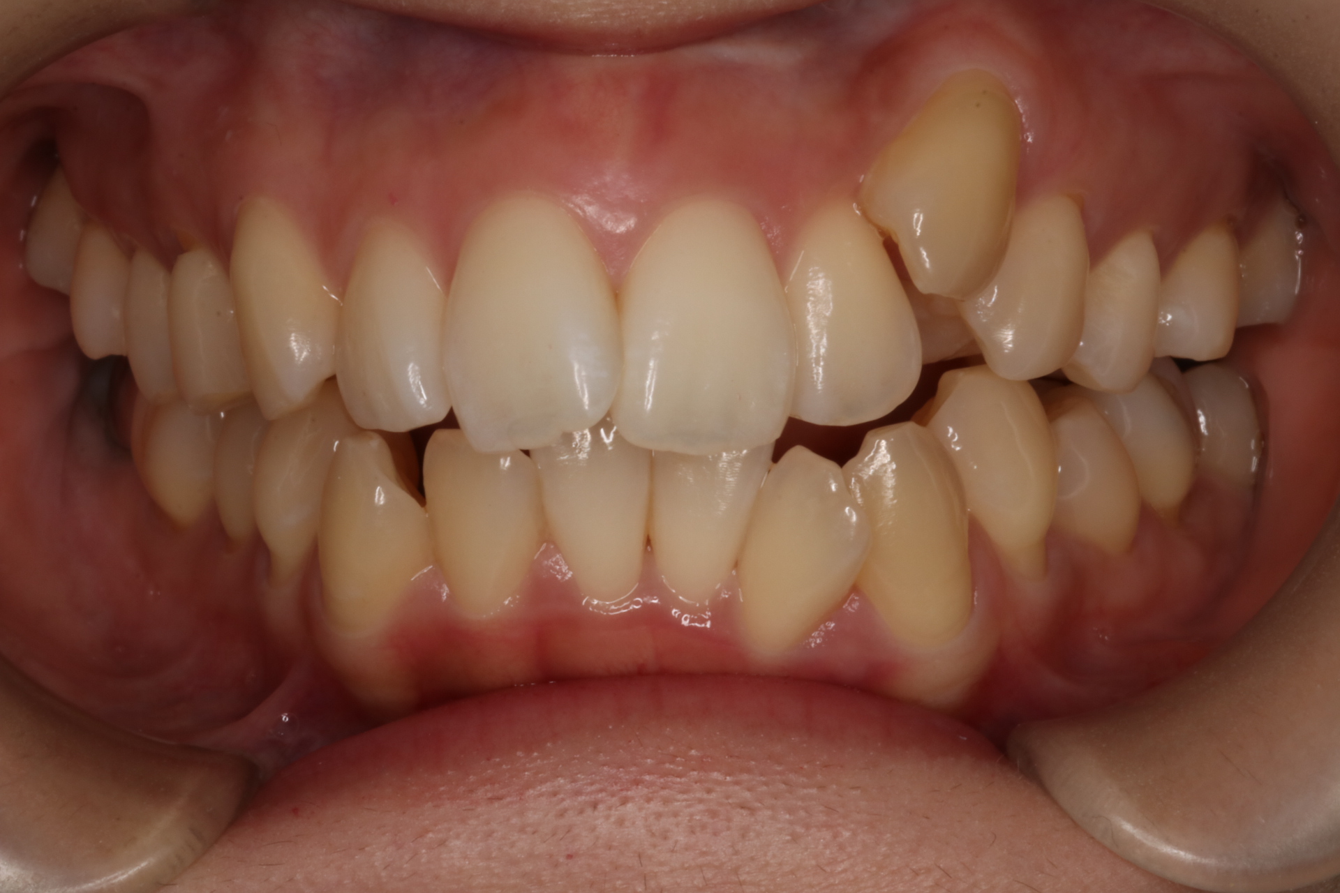
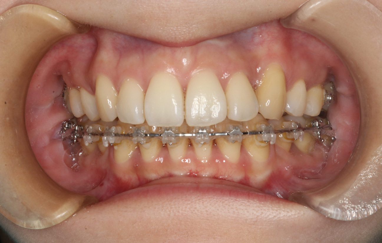
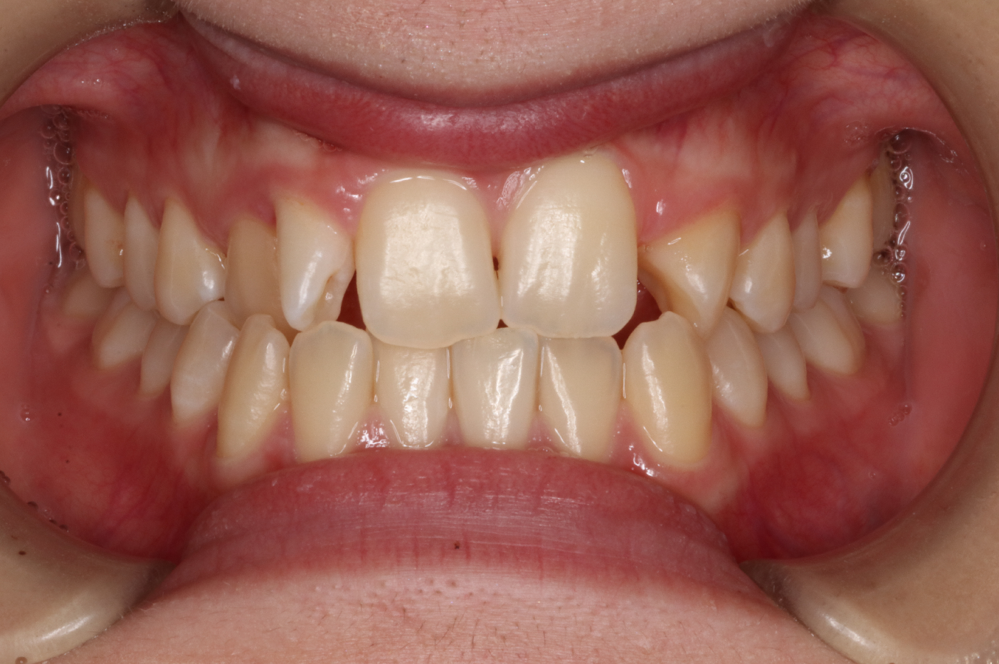
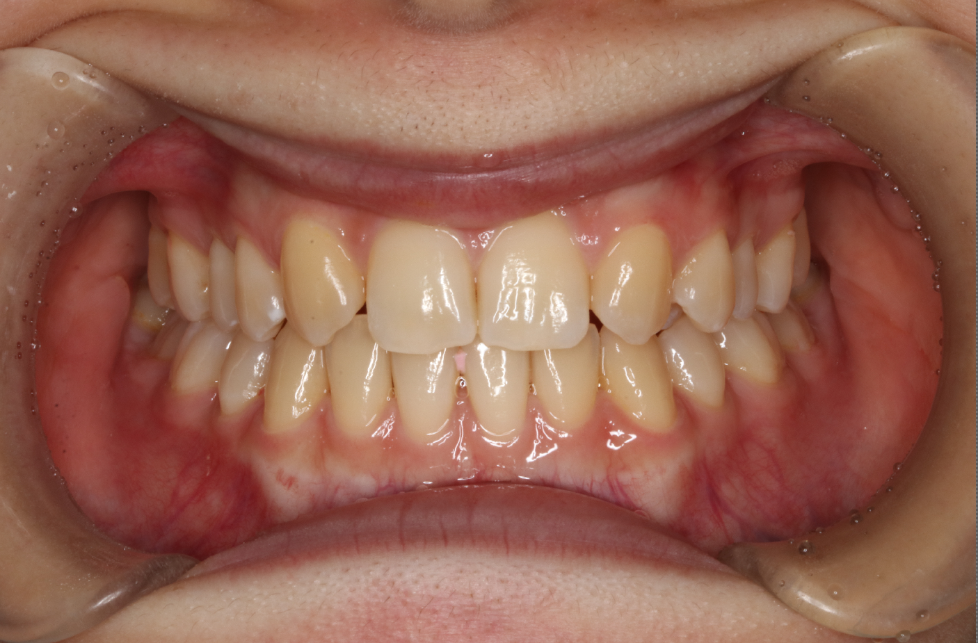
| 主訴 | 【主訴】歯の凹凸を治したい【診断・症状】叢生 |
| 治療費用 | 検査・診断:税込38,500円/裏側矯正治療(リンガル矯正):税込1,397,000円 |
| 治療期間 | 約2年6ヵ月(現在も治療中) |
| 抜歯 | 有(上左右4番、下左右5番) |
| 矯正の装置 | 裏側矯正(舌側矯正) |
| 副作用、リスク | 歯肉退縮,歯根吸収,疼痛,咬合の違和感,装置の違和感,虫歯,歯肉炎 |


| 年齢層 | 20代 |
|---|---|
| 性別 | 女性 |
| 主訴 | 【主訴】八重歯・凹凸を治したい【診断・症状】叢生 |
| 治療費用 | 検査・診断:税込38,500円/ハーフリンガル矯正:税込1,287,000円 |
| 治療期間 | 約2年(現在も治療中) |
| 抜歯 | 有(上左右4番) |
| 矯正の装置 | ハーフリンガル矯正(上顎裏側ワイヤー矯正/下顎表側ワイヤー矯正治療) |
| 副作用、リスク | 歯肉退縮,歯根吸収,疼痛,咬合の違和感,装置の違和感,虫歯,歯肉炎 |


| 年齢層 | 20代 |
|---|---|
| 性別 | 女性 |
| 主訴 | 【主訴】歯の凹凸・咬み合わせの改善・口元を下げたい【診断・症状】叢生 |
| 治療費用 | 検査・診断:税込38,500円/表側矯正治療(ラビアル矯正):税込1,177,000円 |
| 治療期間 | 約2年2ヵ月(通院回数21回・現在も治療中) |
| 抜歯 | 有(上4,4、左下2) |
| 矯正の装置 | 表側矯正(ラビアル矯正) |
| 副作用、リスク | 歯肉退縮,歯根吸収,疼痛,咬合の違和感,装置の違和感,虫歯,歯肉炎 |


| 年齢層 | 30代 |
|---|---|
| 性別 | 女性 |
| 主訴 | 【主訴】歯の凹凸を治したい【診断・症状】叢生 |
| 治療費用 | 検査・診断:税込38,500円/下顎表側ワイヤー矯正治療(ハーフリンガル矯正):税込1,287,000 |
| 治療期間 | 約2年6ヵ月(現在も治療中) |
| 抜歯 | 有(上左右4番・下左右5番) |
| 矯正の装置 | ハーフリンガル矯正(上顎裏側ワイヤー矯正/下顎表側ワイヤー矯正治療) |
| 副作用、リスク | 歯肉退縮,歯根吸収,疼痛,咬合の違和感,装置の違和感,虫歯,歯肉炎 |


| 年齢層 | 30代 |
|---|---|
| 性別 | 男性 |
| 主訴 | 【主訴】八重歯・凹凸を治したい【診断・症状】叢生 |
| 治療費用 | 検査・診断:税込38,500円/下顎表側ワイヤー矯正治療(ハーフリンガル矯正):税込1,287,000 |
| 治療期間 | 約1年4ヶ月(通院回数15回・現在も治療中) |
| 抜歯 | 有(上下左右4番) |
| 矯正の装置 | ハーフリンガル矯正(上顎裏側ワイヤー矯正、下顎表側ワイヤー矯正治療) |
| 副作用、リスク | 歯肉退縮,歯根吸収,疼痛,咬合の違和感,装置の違和感,虫歯,歯肉炎 |


| 年齢層 | 30代 |
|---|---|
| 性別 | 男性 |
| 主訴 | 【主訴】凹凸を治したい【診断・症状】叢生 |
| 治療費用 | 検査・診断:税込38,500円/裏側矯正治療(リンガル矯正):税込1,397,000円 |
| 治療期間 | 約2年6ヵ月(現在も治療中) |
| 抜歯 | 有(上左右4番・左下5番,右下4番) |
| 矯正の装置 | 裏側矯正(舌側矯正) |
| 副作用、リスク | 歯肉退縮,歯根吸収,疼痛,咬合の違和感,装置の違和感,虫歯,歯肉炎 |


| 年齢層 | 20代 |
|---|---|
| 性別 | 男性 |
| 主訴 | 受け口を治したい・咬み合わせの改善・歯並びが凸凹している |
| 治療費用 | 検査・診断:税込38,500円/ハーフリンガル矯正:税込1,287,000円 |
| 治療期間 | 約1年4ヵ月(通院回数17回・現在も治療中) |
| 抜歯 | 有(左上4・右下4・左下5) |
| 矯正の装置 | ハーフリンガル矯正(上顎裏側ワイヤー矯正、下顎表側ワイヤー矯正治療) |
| 副作用、リスク | 歯肉退縮,歯根吸収,疼痛,咬合の違和感,装置の違和感,虫歯,歯肉炎 |


| 年齢層 | 20代 |
|---|---|
| 性別 | 男性 |
| 主訴 | 【主訴】八重歯と歯の凹凸を治したい【診断・症状】叢生 |
| 治療費用 | 検査・診断:税込38,500円/下顎表側ワイヤー矯正治療(ハーフリンガル矯正):税込1,287,000 |
| 治療期間 | 1年6ヵ月(通院回数18回・現在も治療中) |
| 抜歯 | 有(上左右4番) |
| 矯正の装置 | ハーフリンガル矯正(上顎裏側ワイヤー矯正/下顎表側ワイヤー矯正治療) |
| 副作用、リスク | 歯肉退縮,歯根吸収,疼痛,咬合の違和感,装置の違和感,虫歯,歯肉炎 |


| 年齢層 | 30代 |
|---|---|
| 性別 | 女性 |
| 主訴 | 【主訴】口元を下げたい・咬み合わせを改善したい【診断・症状】上顎前突・過蓋咬合 |
| 治療費用 | 検査・診断:税込38,500円/表側矯正治療(ラビアル矯正):税込1,177,000円 |
| 治療期間 | 3年4ヶ月 |
| 抜歯 | 有(上左右4番・下左右5番) |
| 矯正の装置 | 表側矯正(ラビアル矯正) |
| 副作用、リスク | 歯肉退縮,歯根吸収,疼痛,咬合の違和感,装置の違和感,虫歯,歯肉炎 |


| 年齢層 | 20代 |
|---|---|
| 性別 | 女性 |
| 主訴 | 【主訴】歯の凹凸を治したい【診断・症状】叢生 |
| 治療費用 | 検査・診断:税込38,500円/下顎表側ワイヤー矯正治療(ハーフリンガル矯正):税込1,287,000 |
| 治療期間 | 1年6ヶ月(通院回数16回・現在も治療中) |
| 抜歯 | 無(非抜歯) |
| 矯正の装置 | ハーフリンガル矯正(上顎裏側ワイヤー矯正、下顎表側ワイヤー矯正治療) |
| 副作用、リスク | 歯肉退縮,歯根吸収,疼痛,咬合の違和感,装置の違和感,虫歯,歯肉炎 |


| 年齢層 | 20代 |
|---|---|
| 性別 | 男性 |
| 主訴 | 【主訴】歯の隙間が気になる【診断・症状】正中離開 |
| 治療費用 | 検査・診断:税込38,500円/裏側矯正治療(リンガル矯正):税込1,397,000円 |
| 治療期間 | 10ヶ月 |
| 抜歯 | 無(非抜歯) |
| 矯正の装置 | 裏側矯正(舌側矯正) |
| 副作用、リスク | 歯肉退縮,歯根吸収,疼痛,咬合の違和感,装置の違和感,虫歯,歯肉炎 |


| 年齢層 | 20代 |
|---|---|
| 性別 | 女性 |
| 主訴 | 【主訴】歯の凹凸を治したい・上の歯が出ていいる【診断・症状】叢生・上顎前突 |
| 治療費用 | 検査・診断:税込38,500円/ハーフリンガル矯正:税込1,287,000円 |
| 治療期間 | 約1年9ヶ月(通院回数22回・現在も治療中) |
| 抜歯 | 有(上左右4番) |
| 矯正の装置 | 上顎裏側ワイヤー矯正、下顎表側ワイヤー矯正治療(ハーフリンガル矯正) |
| 副作用、リスク | 歯肉退縮,歯根吸収,疼痛,咬合の違和感,装置の違和感,虫歯,歯肉炎 |


| 年齢層 | 20代 |
|---|---|
| 性別 | 女性 |
| 主訴 | 【主訴】歯の凹凸を治したい【診断・症状】叢生 |
| 治療費用 | 検査・診断:税込38,500円/裏側矯正治療(リンガル矯正):税込1,397,000円 |
| 治療期間 | 約2年5カ月 |
| 抜歯 | 有(右上2番・下左右5番) |
| 矯正の装置 | 裏側矯正(舌側矯正) |
| 副作用、リスク | 歯肉退縮,歯根吸収,疼痛,咬合の違和感,装置の違和感,虫歯,歯肉炎 |


| 年齢層 | 20代 |
|---|---|
| 性別 | 女性 |
| 主訴 | 【主訴】歯の凹凸を治したい、八重歯が気になる【診断・症状】叢生 |
| 治療費用 | 検査・診断:税込38,500円/裏側矯正治療(リンガル矯正):税込1,397,000円 |
| 治療期間 | 約1年6ヶ月(通院回数16回) |
| 抜歯 | 上下左右2番 |
| 矯正の装置 | 裏側矯正(舌側矯正) |
| 副作用、リスク | 歯肉退縮,歯根吸収,疼痛,咬合の違和感,装置の違和感,虫歯,歯肉炎 |


| 年齢層 | 20代 |
|---|---|
| 性別 | 女性 |
| 主訴 | 【主訴】上の歯が出ている・上下で咬み合わない【診断・症状】上顎前突・叢生 |
| 治療費用 | 検査・診断:税込38,500円/ハーフリンガル矯正:税込1,287,000円 |
| 治療期間 | 約4ヶ月(通院回数5回・現在も治療中) |
| 抜歯 | 無(非抜歯) |
| 矯正の装置 | 上顎裏側ワイヤー矯正、下顎表側ワイヤー矯正治療(ハーフリンガル矯正) |
| 副作用、リスク | 歯肉退縮,歯根吸収,疼痛,咬合の違和感,装置の違和感,虫歯,歯肉炎 |