当院の症例


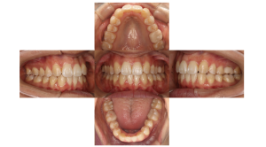
歯の凹凸が気になるお悩みです。
装置が上下に着きました。裏側矯正で治療を始めていきます。
4ヶ月経過しました。凸凹が少しずつ改善してきました。
1年が経過しました。

凸凹がなくなりキレイに歯が並びました。
| 年齢層 | 20代 |
|---|---|
| 性別 | 女性 |
| 主訴 | 【主訴】歯の凹凸を治したい、八重歯が気になる【診断・症状】叢生 |
| 治療費用 | 検査・診断:税込38,500円/裏側矯正治療(リンガル矯正):税込1,397,000円 |
| 治療期間 | 約1年6ヶ月(通院回数16回) |
| 抜歯 | 上下左右2番 |
| 矯正の装置 | 裏側矯正(舌側矯正) |
| 副作用、リスク | 歯肉退縮,歯根吸収,疼痛,咬合の違和感,装置の違和感,虫歯,歯肉炎 |