当院の症例



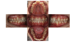
上下のがたつきが気になります。

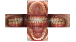
がたつきはほとんど解消されました。

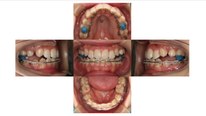
嚙み合わせや抜歯のスペースも改善してきましたね。

ワイヤー装置を外して、現在はマウスピースで微調整中です。

正面からでもがたつきが改善しているのが分かりますね。
| 年齢層 | 30代 |
|---|---|
| 性別 | 女性 |
| 主訴 | 【主訴】歯の凹凸を治したい【診断・症状】叢生 |
| 治療費用 | 検査・診断:税込38,500円/下顎表側ワイヤー矯正治療(ハーフリンガル矯正):税込1,287,000 |
| 治療期間 | 約2年6ヵ月(現在も治療中) |
| 抜歯 | 有(上左右4番・下左右5番) |
| 矯正の装置 | ハーフリンガル矯正(上顎裏側ワイヤー矯正/下顎表側ワイヤー矯正治療) |
| 副作用、リスク | 歯肉退縮,歯根吸収,疼痛,咬合の違和感,装置の違和感,虫歯,歯肉炎 |